Agende sua consulta!

Prótese Fixa Dentária

Prótese fixa dentária

Uma prótese dentária é necessária quando ocorre a perda dentária. As próteses são alternativas feitas de material sintético que substituem as funções realizadas pelo dente natural.

Além de permitir que ações como a mastigação correta e a dicção compreensível sejam realizadas, a prótese fixa dentária também colabora em um quesito que gera grande incômodo aos pacientes: o ramo estético.

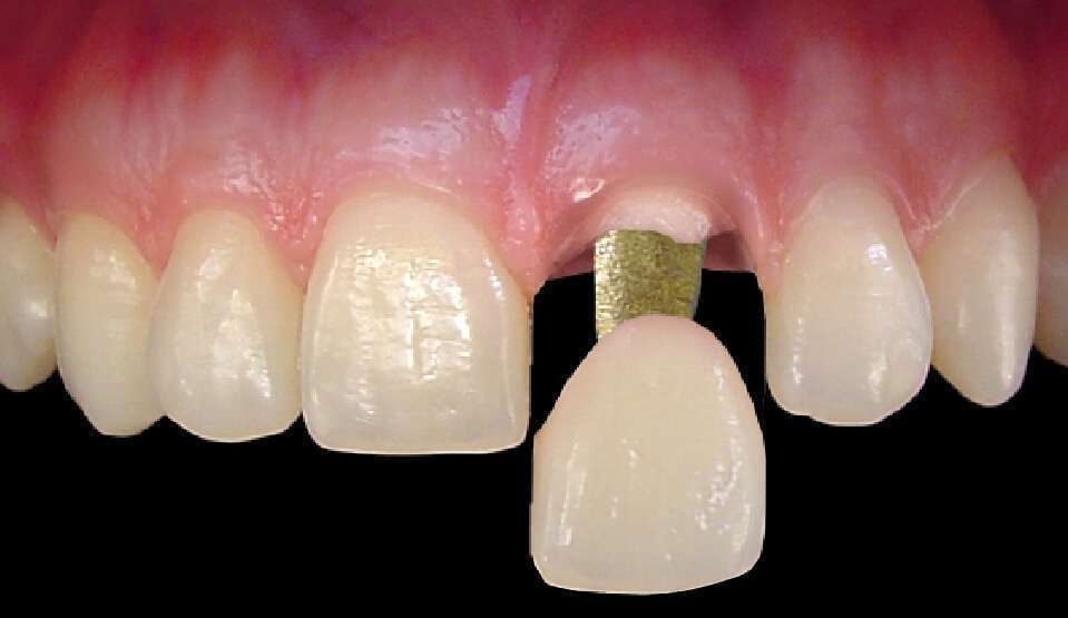
Tipos de prótese dentária

Ter um ou mais buracos desdentados na boca além de ser esteticamente feio pode fazer com que o osso que suporta os dentes seja retraído e isso é irreversível.

Além disso, pode acontecer de os dentes vizinhos se movimentarem para ocupar o espaço deixado e esteticamente eles ficam tortos e atrapalham o processo de mastigação de alimentos.

Felizmente, atualmente o mercado odontológico oferece várias opções de tratamento para a perda dentária, o principal é a implantação de prótese fixa dentária.

  • Prótese parcial: pode ser móvel ou removível e em ambos os casos têm como base uma estrutura metálica. Esse tipo de prótese fixa dentária é indicado quando não é possível colocar um implante;
  • Prótese total: pode ser conhecida por dentadura ou chapa e é adotada quando há a perda de vários dentes. É mais comum no modelo removível e muito recomendado a pacientes idosos;
  • Implante dentário: Colocados quando é preciso substituir a raiz dentária e pode servir como suporte para a colocação de prótese sob implante. Esse procedimento é feito através da implantação de uma peça de titânio no maxilar que serve de apoio para encaixar o dente;
  • Prótese fixa dentária: colocadas para substituir a perda de dentes naturais, a prótese fixa dentária pode ser instalada sobre dentes ou implantes, isso dependerá da condição do paciente e do material em que é feito a prótese fixa dentária.

Vantagens da prótese fixa

São muitos os benefícios oferecidos pelo tipo de prótese fixa dentária. É um modelo que oferece grandes benefícios ao paciente por ser: macio, confortável, moderno e flexível.

Além disso, a prótese fixa dentária faz com que paciente realize a mastigação sem maiores incômodos e dificuldades e consiga falar de forma compreensível.

Isso sem mencionar as vantagens estéticas que a prótese fixa tem, já que a falta de um ou mais dentes abala completamente a harmonização do sorriso.


Publicações Relacionadas

Regiões onde a Consulta Ideal atende Prótese Fixa Dentária:



Informações

Agende sua consulta!