Agende sua consulta!

Faceta Dentária

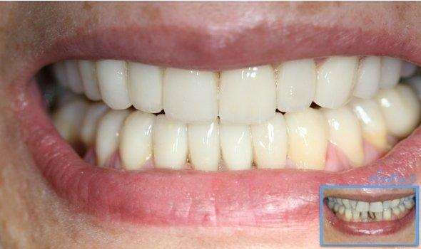
O que é faceta dentária e o que ela faz?

A faceta dentária é uma prótese, podendo ser de porcelana ou de resina, que é colocada na frente dos dentes com o intuito de proporcionar uma aparência mais natural e uma estética melhor à eles.

Ela consiste em reparar dentes manchados, desgastados, fora de tamanho, formato, espaço e até mesmo posição. É basicamente um pacote completo.

Para ser colocada a lente de contato dental, o dentista remove uma pequena quantidade da superfície do dente para serem colocadas as lâminas. Em seguida, ele envia um molde dos dentes para o laboratório.

É necessário um tempo de espera para que ele retorne com a faceta pronta, e com o tamanho perfeito para ser colada nos dentes. O material utilizado para esse procedimento é o cimento resinoso.

Quais são os tipos de faceta dentária?

Segue abaixo uma listagem com descrição de cada faceta dentária existente.

A faceta de porcelana é a mais comum. Ela é feita em laboratório, tomando base a partir de um molde dos dentes do paciente feito pelo dentista. Após essa etapa, o dente natural sofre um desgaste para que a faceta seja colocada posteriormente.

Esse procedimento possui um alto custo, porém é o que oferece os melhores resultados, durando mais tempo e entregando uma estética perfeita.

Já a faceta de resina pode ser direta ou indireta. A direta é feita em consultório, consistindo em tapar a imperfeição do dente com massa de modo a ficar uniforme. A indireta é feita em laboratório.

As lentes de contato, entretanto, são lâminas de cerâmica muito finas que são indicadas para corrigir pequenos problemas. Elas são diferentes das facetas citadas anteriormente pois não necessitam de nenhum desgaste no dente para serem colocadas.

Limpeza da faceta dentária

Os cuidados com limpeza da faceta dentária são simples. Elas devem ser escovadas duas vezes ao dia com uma pasta de dente com flúor, além do uso do fio dental ao menos uma vez ao dia.

Em consultas com o dentista, ele pode recomendar alguns produtos para ajudarem na limpeza da lente dentária para fazer com que elas tenham uma durabilidade maior.


Publicações Relacionadas

Regiões onde a Consulta Ideal atende Faceta Dentária:



Informações

Agende sua consulta!