Agende sua consulta!

Lentes Dentais De Porcelana

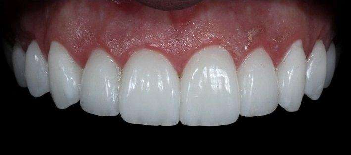
Vivendo com lentes dentais de porcelana

Qual o valor de um sorriso incrivelmente branco e saudável? A prevenção sempre é o melhor caminho para conseguir os dentes do sonho, porém ainda existem tratamentos que podem ser bastante eficazes para quem possui problemas como dentes amarelados, trincados, rachados e até mesmo muito separados, os chamados diastemas.

Para problemas mais sérios como dentes faltantes, encavalados ou com diferentes tamanhos, pode ser exigido outro tipo de tratamento, como aparelhos ortodônticos e implante.

As lentes dentais de porcelana são um tratamento realizados dentro do consultório do dentista e sob indicação após vários exames e consultas.

Elas são extremamente finas, modeladas de acordo com os dentes do próprio paciente e coladas.

Contra Indicações das lentes dentais de porcelana

As lentes dentais de porcelanas podem parecer uma solução milagrosa, porém, infelizmente nem todos podem utilizar, por exemplo pessoas com bruxismo.

É uma disfunção caracterizada pelo ranger ou apertar os dentes na hora do sono, provocam desgastes nos dentes, amolecimento, problemas nas gengivas e na articulação da mandíbula.

Além disso não é recomendado para pessoas quem:

  • Sofrem com o estreitamento dos dentes;
  • Em dentes que possuem restaurações;
  • Dentes que não possuem estrutura forte;
  • Em dentes que possuem cáries;
  • Quem não possui boa higiene bucal.

Esse último aspecto é o mais importante, pois as lentes dentais de porcelana são coladas entre o dente e a gengiva, por isso pode ocorrer acúmulo de placa e causar problemas mais sérios, como cáries e problemas nas gengivas, que podem causar infecções mais graves como gengivite. Se isso acontecer, as lentes dentais de porcelana precisarão ser retiradas e não serão reaproveitadas.

Atenção às lentes dentais de porcelana

Se você busca um tratamento, porém ainda têm dúvidas, converse com o seu dentista a respeito do que é melhor para você. Se as lentes dentais de porcelana forem indicadas, pergunte ao profissional sobre a possibilidade de realizar uma simulação digital do procedimento.

Lembre-se, somente dentes saudáveis poderão passar por esse tipo de procedimento de colocação de lentes dentais de porcelana, por isso mantenha cuidados de higiene bucal e visite com regularidade o seu dentista.

Além disso, procure sempre realizar qualquer procedimento com profissionais sérios, com portfólio ou indicações. Fuja de tratamentos milagrosos, extremamente baratos e em locais sem higiene.


Publicações Relacionadas

Regiões onde a Consulta Ideal atende Lentes Dentais De Porcelana:



Informações

Agende sua consulta!