Agende sua consulta!

Facetas De Porcelana Quanto Custa

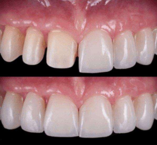
Facetas de porcelana quanto custa: o que são?

As facetas de porcelana quanto custa são indicadas para quem deseja reparar danos causados por manchas, ou está incomodada com tamanhos, formatos e posições indesejadas nos dentes.

Elas são bastante procuradas por quem está insatisfeito com o próprio sorriso, e deseja uma melhora considerável na estética dele.

Geralmente, as facetas de porcelana são colocadas apenas nos dentes da frente, mas podem haver casos em que o contraste com os pré-molares seja muito grande, e haja a necessidade de colocar neles também.

O custo se torna ainda mais alto do que já é, mas o resultado obtido é satisfatório e extremamente duradouro, fazendo o investimento valer a pena. Afinal, o sorriso é o cartão de visitas de muita gente para muitas situações. Ele merece ser cuidado da melhor maneira possível.

Como funciona a aplicação das facetas de porcelana quanto custa?

Segue abaixo um passo a passo de como funciona o procedimento de aplicação das facetas. Desde o momento da preparação do dente, até o da aplicação em si.

  • Moldagem;
  • Laboratório;
  • Desgaste do dente;
  • Aplicação.

O primeiro passo é fazer a moldagem dos dentes do paciente. É feita uma conversa sobre os desejos dele em relação a cor, formato, tamanho e posição dos dentes.

Sendo assim, as mudanças serão feitas em um programa de computador, ou com o próprio protético, que irá receber a moldagem em laboratório por meio de scanner bucal, assim como para uma lentes de contato odontologia.

Após o término da confecção das facetas, o procedimento segue para a etapa de aplicação. É feito um desgaste na superfície do dente para que as facetas de porcelana quanto custa sejam coladas.

Um adesivo é colocado nelas, e assim, elas são coladas por meio de um cimento especial. A seguir, a faceta recebe um tratamento com luz durante 60 segundos para fixar a colagem.

O ideal é que esse procedimento seja feito com o paciente anestesiado para que evite que o paciente se mexa ou sinta dor.

Recomendações de cuidados

Após o término de todo o procedimento de aplicação, são necessários alguns cuidados no dia a dia com as facetas de porcelana quanto custa. Elas precisam de manutenção de tempos em tempos, e cuidados diários para a durabilidade ser ainda maior.

Escová-las duas vezes ao dia e usar fio dental ao menos uma é de extrema importância para que a vida útil das lente de contato para dentes seja grande.


Publicações Relacionadas

Regiões onde a Consulta Ideal atende Facetas De Porcelana Quanto Custa:



Informações

Agende sua consulta!